Behandlung Vorher-Nachher | ZA Thomas  Hamacher Vorherbild
Nachher
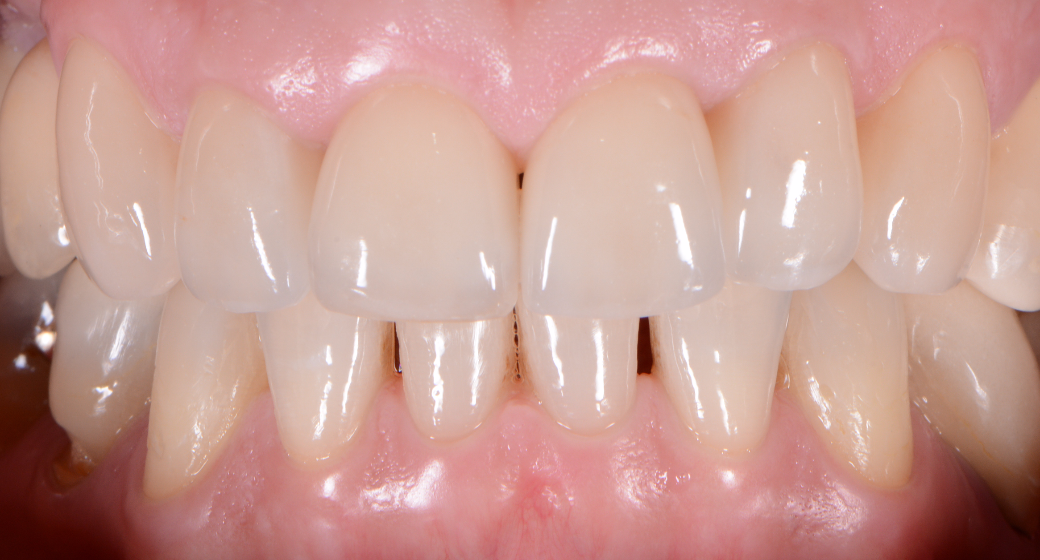
Behandlung Vorher-Nachher | ZA Thomas  Hamacher Nachherbild
Vorher
937 Ansichten

Kronen Vorher Nachher

von Thomas Hamacher

ZA Thomas  Hamacher Profilbild
Alle durchgeführten Behandlungen bei diesem Fall: Kronen

Du findest das Behandlungsergebnis toll und möchtest Dich in dieser Praxis behandeln oder beraten lassen? Jetzt Kontakt aufnehmen:

Kontakt zur Praxis

Befund

unschöne Ästhetik und Füllungen, Abschleifdefekte, falsche Bisslage

Behandlung

Versorgung mit vollkeramischen Kronen und Veneers nach Bisskorrektur.

Patientendaten

weiblich, 32 Jahre