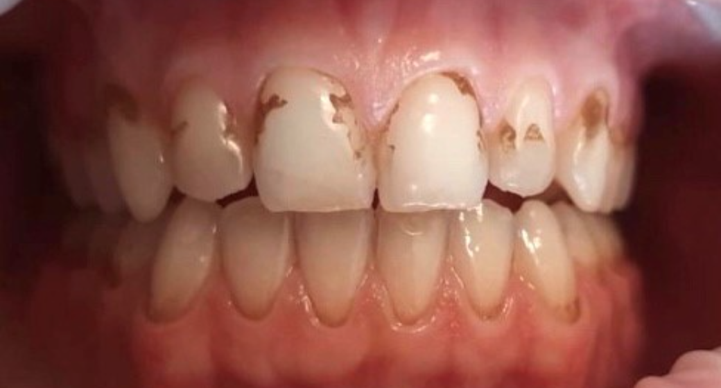
Behandlung Vorher-Nachher | ZA Nils Hunselar Vorherbild
Nachher
Behandlung Vorher-Nachher | ZA Nils Hunselar Nachherbild
Vorher
1348 Ansichten

Veneers Vorher Nachher

von Nils Hunselar

ZA Nils Hunselar Profilbild
Alle durchgeführten Behandlungen bei diesem Fall: Veneers

Du findest das Behandlungsergebnis toll und möchtest Dich in dieser Praxis behandeln oder beraten lassen? Jetzt Kontakt aufnehmen:

DR Flex IconOnline-Termin (Dr. Flex) Kontakt zur Praxis