Behandlung Vorher-Nachher-Bild von ZA Wojtek  Honnefelder  | Krefeld b53b3a3d Vorher-Bild
Nachher
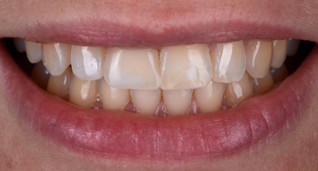
Behandlung Vorher-Nachher-Bild von ZA Wojtek  Honnefelder  | Krefeld b53b3a3d Nachher-Bild
Vorher
900 Ansichten

Veneers Vorher Nachher

von Wojtek Honnefelder

ZA Wojtek  Honnefelder  Profilbild
Alle durchgeführten Behandlungen bei diesem Fall: Veneers

Du findest das Behandlungsergebnis toll und möchtest Dich in dieser Praxis behandeln oder beraten lassen? Jetzt Kontakt aufnehmen:

DR Flex IconOnline-Termin (Dr. Flex)Kontakt zur Praxis

Patientendaten

Weiblich, Mitte 30