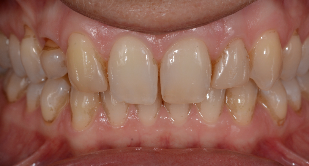
Behandlung Vorher-Nachher-Bild | Veneers von Dr. med. dent. Sabine Schindler | Sinzing fbd7939d Vorher-Bild
Nachher
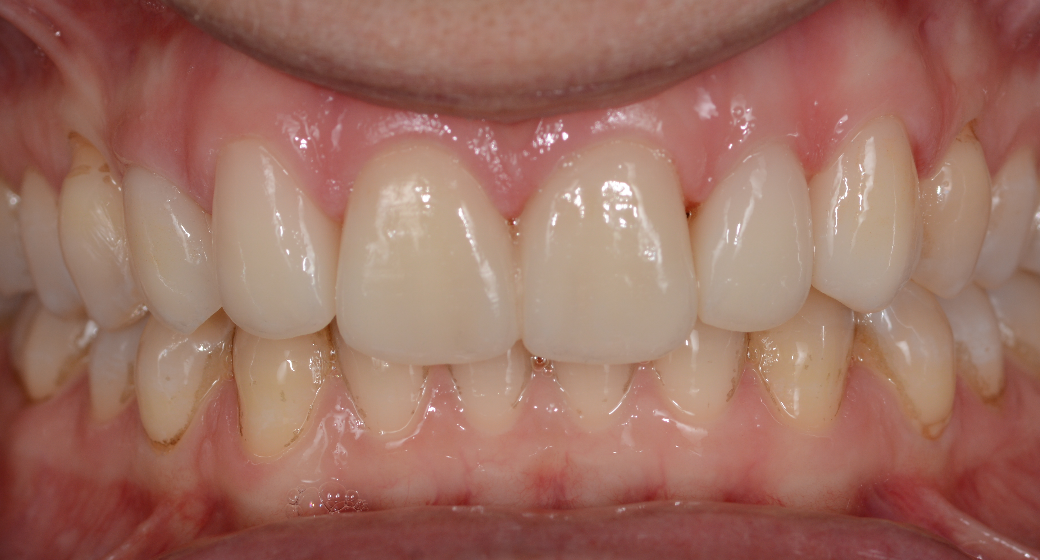
Behandlung Vorher-Nachher-Bild | Veneers von Dr. med. dent. Sabine Schindler | Sinzing fbd7939d Nachher-Bild
Vorher
522 Ansichten

Veneers Vorher Nachher

von Dr. med. dent. Sabine Schindler

Dr. med. dent. Sabine Schindler Profilbild
Alle durchgeführten Behandlungen bei diesem Fall: Veneers

Du findest das Behandlungsergebnis toll und möchtest Dich in dieser Praxis behandeln oder beraten lassen? Jetzt Kontakt aufnehmen:

Kontakt zur Praxis

Befund

53 an Position 13, 13 an Position 12 wg. Nichtanlage, 11 und 21 ungleich groß und lang, 22 Zapfenzahn

Behandlung

Veneers und Teilkronen 13-23

Patientendaten

weiblich, 39 Jahre