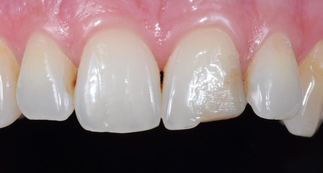
Behandlung Vorher-Nachher-Bild | Veneers von Dr. med. dent. Markus Bockeloh | Ahlen f4dd765c Vorher-Bild
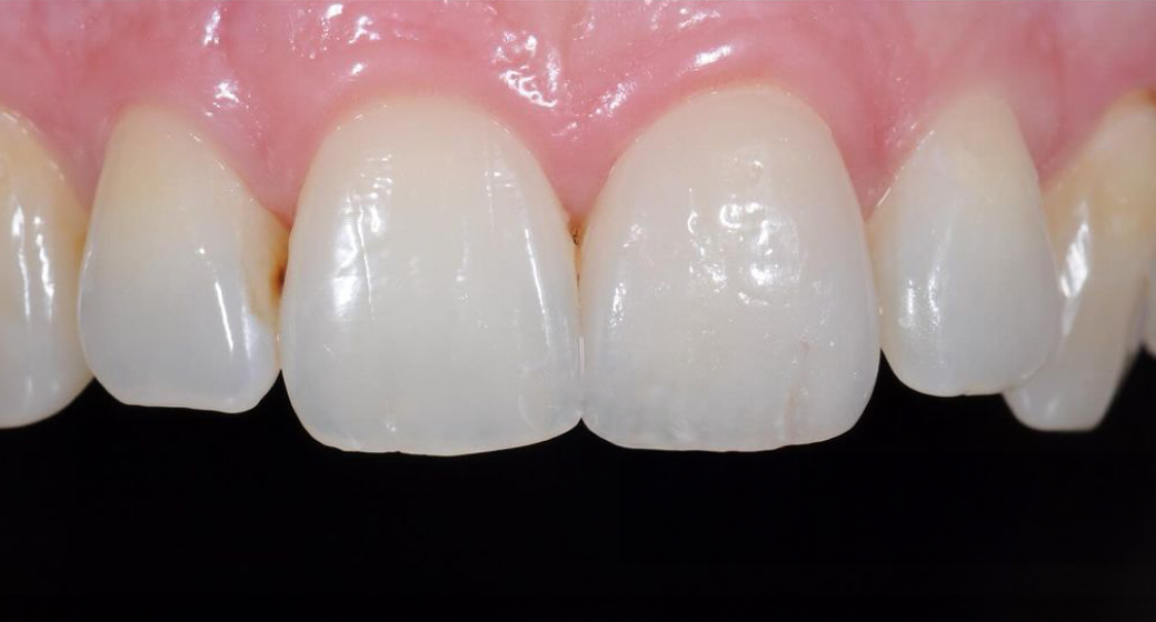
Nachher
Behandlung Vorher-Nachher-Bild | Veneers von Dr. med. dent. Markus Bockeloh | Ahlen f4dd765c Nachher-Bild
Vorher
455 Ansichten

Veneers Vorher Nachher

von Dr. med. dent. Markus Bockeloh

Zahnarztbild Placeholder
Alle durchgeführten Behandlungen bei diesem Fall: Veneers

Du findest das Behandlungsergebnis toll und möchtest Dich in dieser Praxis behandeln oder beraten lassen? Jetzt Kontakt aufnehmen:

Kontakt zur Praxis

Befund

Abgebrochener Schneidezahn

Behandlung

Versorgung des Zahns mit einem Veneer für ein strahlenes Lächeln

Patientendaten

Infos folgen