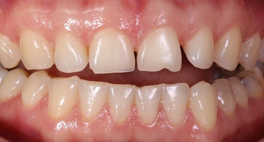
Behandlung Vorher-Nachher-Bild | Veneers von Dr. med. dent. Lale Acanal-Lozankovski | Baden-Baden 559cb990 Vorher-Bild
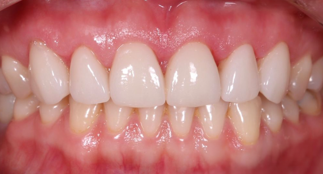
Nachher
Behandlung Vorher-Nachher-Bild | Veneers von Dr. med. dent. Lale Acanal-Lozankovski | Baden-Baden 559cb990 Nachher-Bild
Vorher
516 Ansichten

Veneers Vorher Nachher

von Dr. med. dent. Lale Acanal-Lozankovski

Zahnarztbild Placeholder
Alle durchgeführten Behandlungen bei diesem Fall: VeneersGummy Smile

Du findest das Behandlungsergebnis toll und möchtest Dich in dieser Praxis behandeln oder beraten lassen? Jetzt Kontakt aufnehmen:

Kontakt zur Praxis

Befund

Unharmonisches Verhältnis von Zähnen und Zahnfleisch. Zum Teil angebrochene Zähne mit kleinem Lückenstand in den Zahnzwischenräumen.

Behandlung

6 dünne Keramikveneers mit minimalem Beschleifen der Zähne. Auch die Zahnfleischlinie haben wir dem Ideal angepasst, so dass die Zähne länger wurden und das Lächeln nicht mehr schief wirkt. Bei dem #smiledesign achten wir auf viele Details, so dass Sie am Ende das perfekt an Ihr Gesicht passende Lächeln bekommt. Das ist eine Kunst, die wir perfekt beherrschen!

Patientendaten

Infos folgen