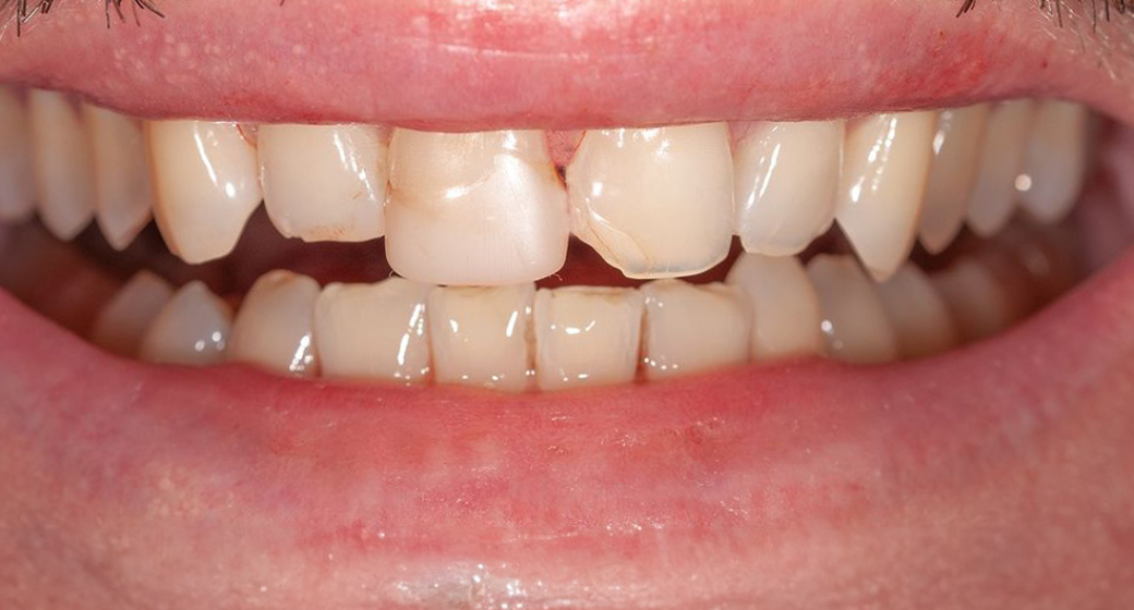
Behandlung Vorher-Nachher-Bild | Veneers von Dr. med. dent. Frank-Christoph Langer | Sankt Augustin cee63112 Vorher-Bild
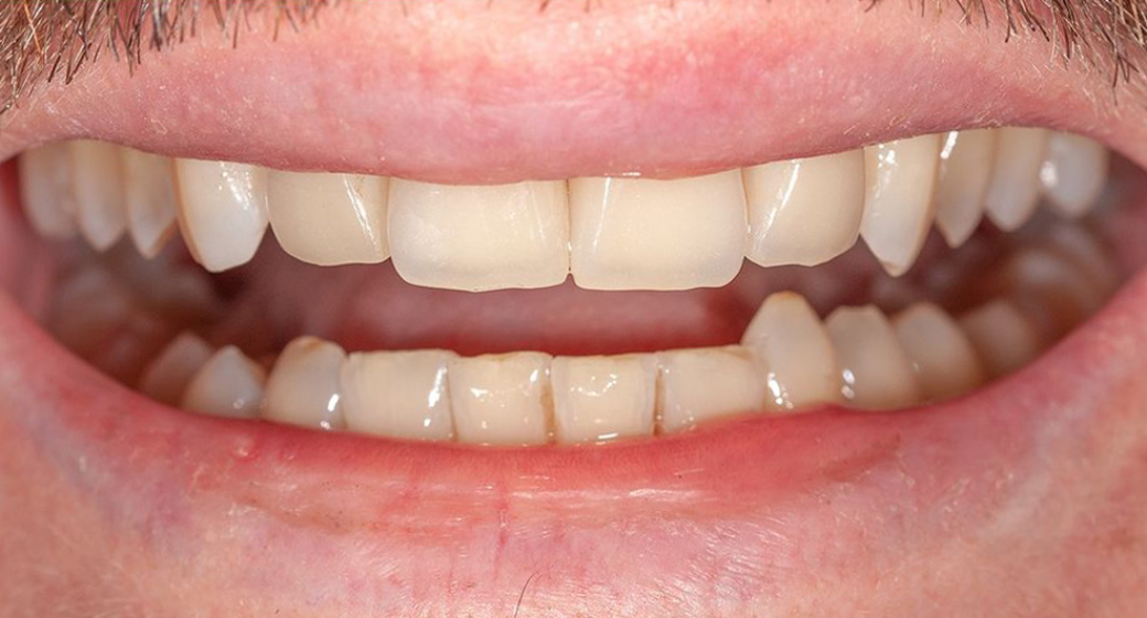
Nachher
Behandlung Vorher-Nachher-Bild | Veneers von Dr. med. dent. Frank-Christoph Langer | Sankt Augustin cee63112 Nachher-Bild
Vorher
458 Ansichten

Veneers Vorher Nachher

von Dr. med. dent. Frank-Christoph Langer

Dr. med. dent. Frank-Christoph Langer Profilbild
Alle durchgeführten Behandlungen bei diesem Fall: Veneers

Du findest das Behandlungsergebnis toll und möchtest Dich in dieser Praxis behandeln oder beraten lassen? Jetzt Kontakt aufnehmen:

Kontakt zur Praxis

Befund

Dieser Patient hatte keine Freude mehr am Lachen und war unzufrieden mit seinen Frontzähnen.

Behandlung

Mit passgenauen Veneers im Oberkiefer sind wir seinem Wunsch nach einer natürlichen Zahnfarbe nachgekommen. Das Ergebnis? Ein strahlendes Lächeln und ein superzufriedener Patient!

Patientendaten

Männlich