Behandlung Vorher-Nachher-Bild | Veneers von Dr. med. dent. Beate Jürgens | Düsseldorf-Oberkassel ffeed84c Vorher-Bild
Nachher
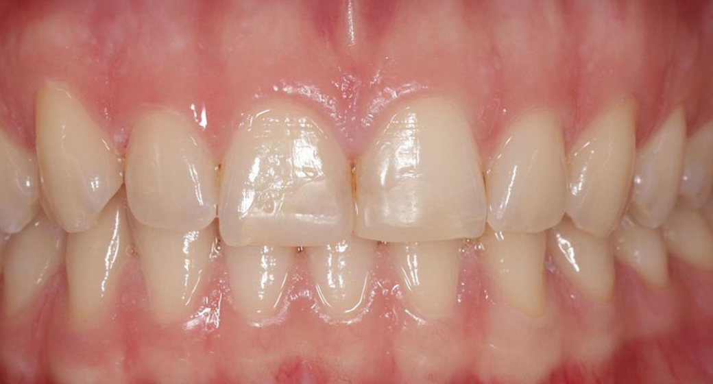
Behandlung Vorher-Nachher-Bild | Veneers von Dr. med. dent. Beate Jürgens | Düsseldorf-Oberkassel ffeed84c Nachher-Bild
Vorher
376 Ansichten

Veneers Vorher Nachher

von Dr. med. dent. Beate Jürgens

Zahnarztbild Placeholder
Alle durchgeführten Behandlungen bei diesem Fall: Veneers

Du findest das Behandlungsergebnis toll und möchtest Dich in dieser Praxis behandeln oder beraten lassen? Jetzt Kontakt aufnehmen:

Kontakt zur Praxis

Befund

Hannah war in Ihrer Kindheit auf ihre Frontzähne gefallen und wurde damals mit Kunststoff-Füllungen versorgt. Über die Jahre verfärbten sich die Zähne und Füllungsränder und Hannah lachte nur noch verhalten, um nicht ihre Zähne zeigen zu müssen. Während der letzten Schuljahre und im Studium „biss“ Hannah sich durch Ihre Tage/Nächte.

Behandlung

Hannah hat sich nach unserer funktionellen & ästhetischen Analyse für ein non-invasives (kein Abtrag der eigenen Zähne nötig!) Komposit-Veneering mit funktioneller Therapie entschieden.

Patientendaten

Weiblich