Behandlung Vorher-Nachher-Bild | Kronen von  Abdelrahman Awadin | Reutlingen b534ba68 Vorher-Bild
Nachher
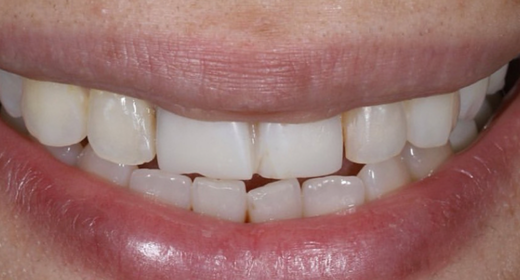
Behandlung Vorher-Nachher-Bild | Kronen von  Abdelrahman Awadin | Reutlingen b534ba68 Nachher-Bild
Vorher
443 Ansichten

Veneers Vorher Nachher

von Abdelrahman Awadin

Zahnarztbild Placeholder
Alle durchgeführten Behandlungen bei diesem Fall: Veneers

Du findest das Behandlungsergebnis toll und möchtest Dich in dieser Praxis behandeln oder beraten lassen? Jetzt Kontakt aufnehmen:

Kontakt zur Praxis

Befund

Infos folgen

Behandlung

Infos folgen

Patientendaten

Weiblich