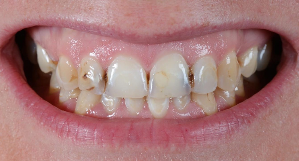
Behandlung Vorher-Nachher-Bild | Kronen  | von ZA Milan  Michalides  | Stuhr / Brinkum  7cbbc409 Vorher-Bild
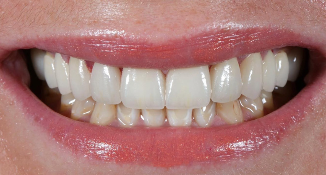
Nachher
Behandlung Vorher-Nachher-Bild | Kronen  | von ZA Milan  Michalides  | Stuhr / Brinkum  7cbbc409 Nachher-Bild
Vorher
830 Ansichten

Kronen Vorher Nachher

von Milan Michalides

Zahnarzt  Milan  Michalides  Profilbild
Alle durchgeführten Behandlungen bei diesem Fall: Kronen

Du findest das Behandlungsergebnis toll und möchtest Dich in dieser Praxis behandeln oder beraten lassen? Jetzt Kontakt aufnehmen:

Kontakt zur Praxis