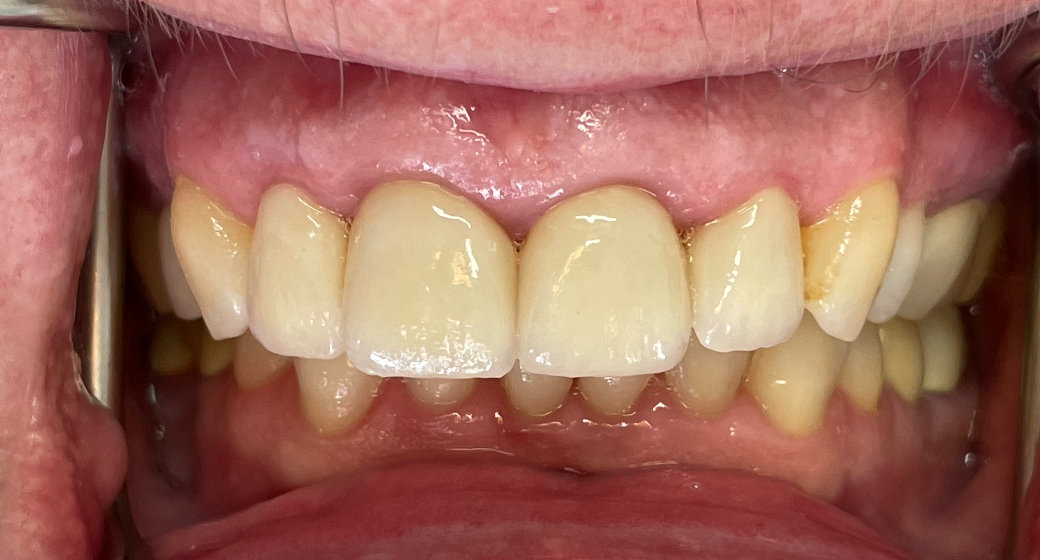
Behandlung Vorher-Nachher-Bild | Kronen  | von med. dent. Tanja  Bornmann | Berlin 35f4a8d4 Vorher-Bild
Nachher
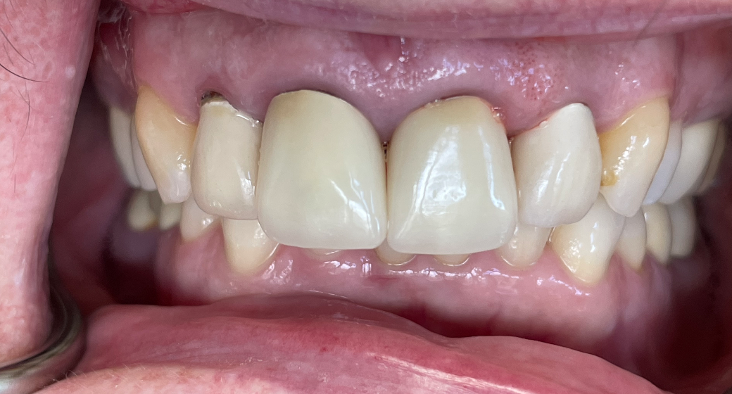
Behandlung Vorher-Nachher-Bild | Kronen  | von med. dent. Tanja  Bornmann | Berlin 35f4a8d4 Nachher-Bild
Vorher
651 Ansichten

Kronen Vorher Nachher

von Tanja Bornmann

med.dent. Tanja  Bornmann Profilbild
Alle durchgeführten Behandlungen bei diesem Fall: Kronen

Du findest das Behandlungsergebnis toll und möchtest Dich in dieser Praxis behandeln oder beraten lassen? Jetzt Kontakt aufnehmen:

Kontakt zur Praxis

Befund

insuffiziente Kronenränder und Reizgingivitis

Behandlung

12-22 Zirkonkronen

Patientendaten

weiblich, 52 Jahre alt