Behandlung Vorher-Nachher-Bild | Kronen von Dr. med. dent. Lale Acanal-Lozankovski | Baden-Baden 559cb990 Vorher-Bild
Nachher
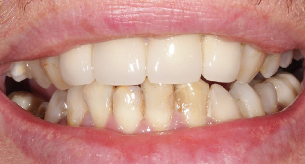
Behandlung Vorher-Nachher-Bild | Kronen von Dr. med. dent. Lale Acanal-Lozankovski | Baden-Baden 559cb990 Nachher-Bild
Vorher
537 Ansichten

Kronen Vorher Nachher

von Dr. med. dent. Lale Acanal-Lozankovski

Zahnarztbild Placeholder
Alle durchgeführten Behandlungen bei diesem Fall: KronenVeneersImplantate

Du findest das Behandlungsergebnis toll und möchtest Dich in dieser Praxis behandeln oder beraten lassen? Jetzt Kontakt aufnehmen:

Kontakt zur Praxis

Befund

Infos folgen

Behandlung

Dieser Fall zeigt eindrucksvoll wie eine Kombination aus Kronen, Veneers und Implantate nicht nur eine funktionelle sondern auch eine ästhetische Verbesserung des Bisses bringen kann.

Patientendaten

Infos folgen