Behandlung Vorher-Nachher-Bild | Kieferorthopädie  | von Dr.  Neda Yavari | Elmshorn d82c8d16 Vorher-Bild
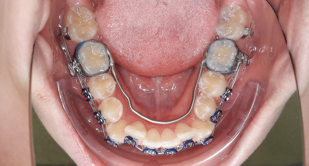
Nachher
Behandlung Vorher-Nachher-Bild | Kieferorthopädie  | von Dr.  Neda Yavari | Elmshorn d82c8d16 Nachher-Bild
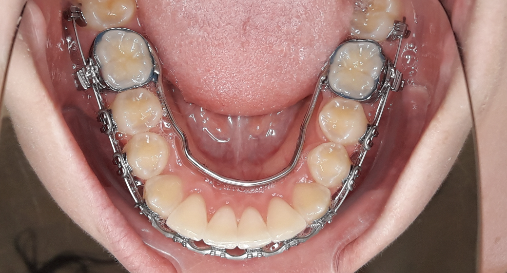
Vorher
836 Ansichten

Kieferorthopädie Vorher Nachher

von Dr. med. dent. Neda Yavari

Dr.  Neda Yavari Profilbild
Alle durchgeführten Behandlungen bei diesem Fall: Kieferorthopädie

Du findest das Behandlungsergebnis toll und möchtest Dich in dieser Praxis behandeln oder beraten lassen? Jetzt Kontakt aufnehmen:

Calendar IconOnline-Termin Kontakt zur Praxis