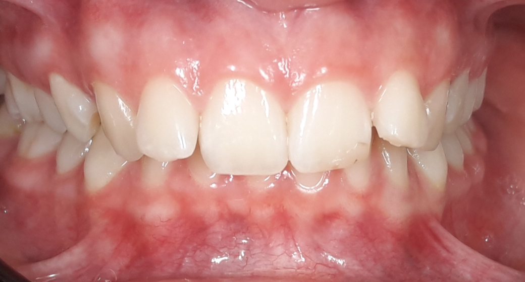
Behandlung Vorher-Nachher-Bild | Kieferorthopädie  | von Dr. Neda Yavari | Elmshorn d82c8d16 Vorher-Bild
Nachher
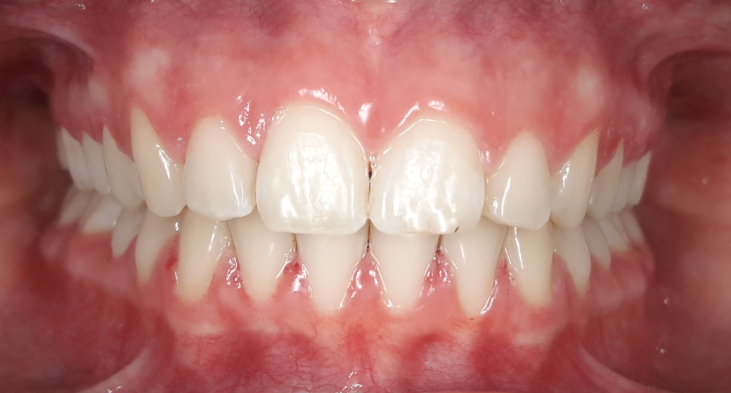
Behandlung Vorher-Nachher-Bild | Kieferorthopädie  | von Dr. Neda Yavari | Elmshorn d82c8d16 Nachher-Bild
Vorher
789 Ansichten

Kieferorthopädie Vorher Nachher

von Dr. med. dent. Neda Yavari

Dr.  Neda Yavari Profilbild
Alle durchgeführten Behandlungen bei diesem Fall: Kieferorthopädie

Du findest das Behandlungsergebnis toll und möchtest Dich in dieser Praxis behandeln oder beraten lassen? Jetzt Kontakt aufnehmen:

Calendar IconOnline-Termin Kontakt zur Praxis

Befund

Normalerweise bedecken die oberen Schneidezähne beim Zusammenbeißen die unteren um etwa zwei bis drei Millimeter. Liegt ein Tiefbiss vor, reichen sie zu weit nach unten. Die Folge: Sie bedecken die Schneidezähne im Unterkiefer. Diese Zahnfehlstellung sollte nicht nur aus ästhetischen Gründen behandelt werden. Eine häufige Folge des Tiefbisses sind Kiefergelenksbeschwerden.⁠

Behandlung

Während der Behandlung bewegen wir die verlängerten oberen Schneidezähne vorsichtig in den Kiefer zurück. Gleichzeitig bringen wir zu kurze Seiten und untere Schneidezähne zum Herauswachsen. ⁠ ⁠