Behandlung Vorher-Nachher-Bild | Kieferorthopädie  | von Dr. Neda Yavari | Elmshorn d82c8d16 Vorher-Bild
Nachher
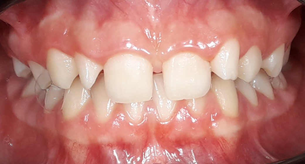
Behandlung Vorher-Nachher-Bild | Kieferorthopädie  | von Dr. Neda Yavari | Elmshorn d82c8d16 Nachher-Bild
Vorher
814 Ansichten

Kieferorthopädie Vorher Nachher

von Dr. med. dent. Neda Yavari

Dr.  Neda Yavari Profilbild
Alle durchgeführten Behandlungen bei diesem Fall: Kieferorthopädie

Du findest das Behandlungsergebnis toll und möchtest Dich in dieser Praxis behandeln oder beraten lassen? Jetzt Kontakt aufnehmen:

Calendar IconOnline-Termin Kontakt zur Praxis

Befund

Bei unserer aktuellen Patientin liegen gleich zwei Zahnfehlstellungen vor: ein Diastema mediale und ein Tiefbiss.

Behandlung

Mit Brackets konnten wir bereits die Lücke zwischen den oberen Schneidezähnen schließen. Nun sind wir dabei, den Tiefbiss mit der festen Zahnspange zu heben.