Behandlung Vorher-Nachher-Bild | Kieferorthopädie  | von Dr.  Neda Yavari | Elmshorn d82c8d16 Vorher-Bild
Nachher
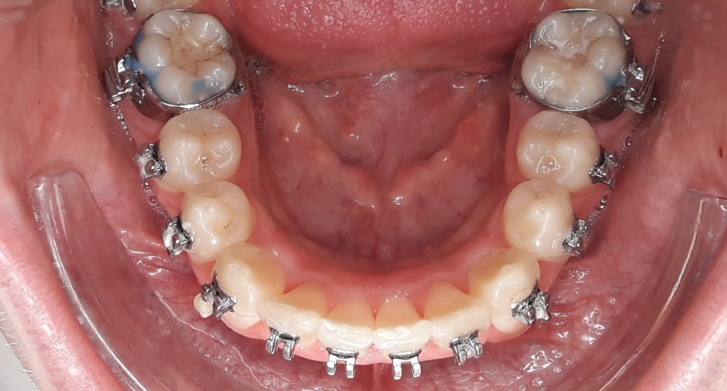
Behandlung Vorher-Nachher-Bild | Kieferorthopädie  | von Dr.  Neda Yavari | Elmshorn d82c8d16 Nachher-Bild
Vorher
774 Ansichten

Kieferorthopädie Vorher Nachher

von Dr. med. dent. Neda Yavari

Dr.  Neda Yavari Profilbild
Alle durchgeführten Behandlungen bei diesem Fall: Kieferorthopädie

Du findest das Behandlungsergebnis toll und möchtest Dich in dieser Praxis behandeln oder beraten lassen? Jetzt Kontakt aufnehmen:

Calendar IconOnline-Termin Kontakt zur Praxis

Befund

Zahnfehlstellung

Behandlung

Mit Hilfe eines speziellen Klebers wurden Brackets auf den Zähnen befestigt. Bei Brackets handelt es sich um kleine Halterungen für kieferorthopädische Bogendrähte. Die Brackets verbinden wir über Ligaturen mit dem Bogendraht, der die Zähne bewegen soll. Die fertige Zahnspange übt Druck auf die Zähne aus, sodass sie sich bewegen können.⁠