Behandlung Vorher-Nachher-Bild | Kieferorthopädie von    | Elmshorn d82c8d16 Vorher-Bild
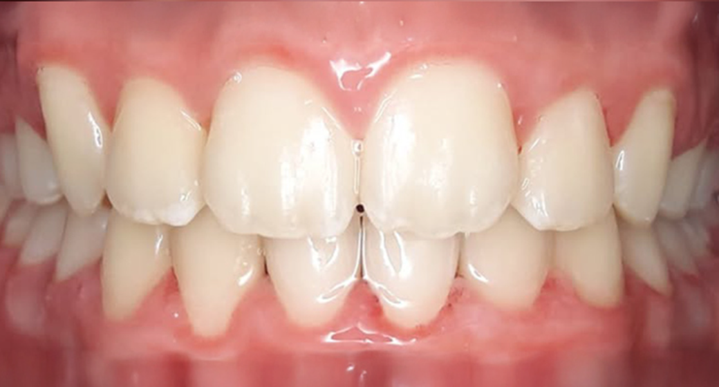
Nachher
Behandlung Vorher-Nachher-Bild | Kieferorthopädie von    | Elmshorn d82c8d16 Nachher-Bild
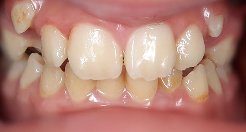
Vorher
332 Ansichten

Kieferorthopädie Vorher Nachher

von Dr. med. dent. Neda Yavari

Dr.  Neda Yavari Profilbild
Alle durchgeführten Behandlungen bei diesem Fall: Kieferorthopädie

Du findest das Behandlungsergebnis toll und möchtest Dich in dieser Praxis behandeln oder beraten lassen? Jetzt Kontakt aufnehmen:

Calendar IconOnline-Termin Kontakt zur Praxis

Befund

Außen- und Hochstand der Eckzähne.

Behandlung

Durch eine kieferorthopädische Behandlung konnten die Zähne an ihren richtigen Platz bewegt und das Lächeln harmonisiert werden.

Patientendaten

Weiblich