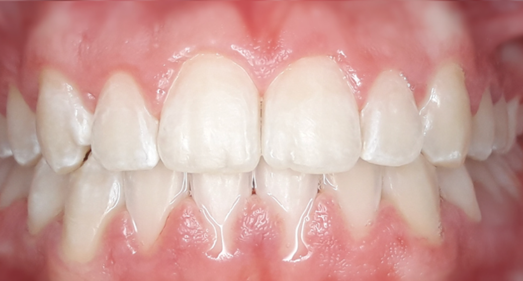
Behandlung Vorher-Nachher-Bild | Kieferorthopädie von Dr. med. dent. Neda Yavari | Elmshorn d82c8d16 Vorher-Bild
Nachher
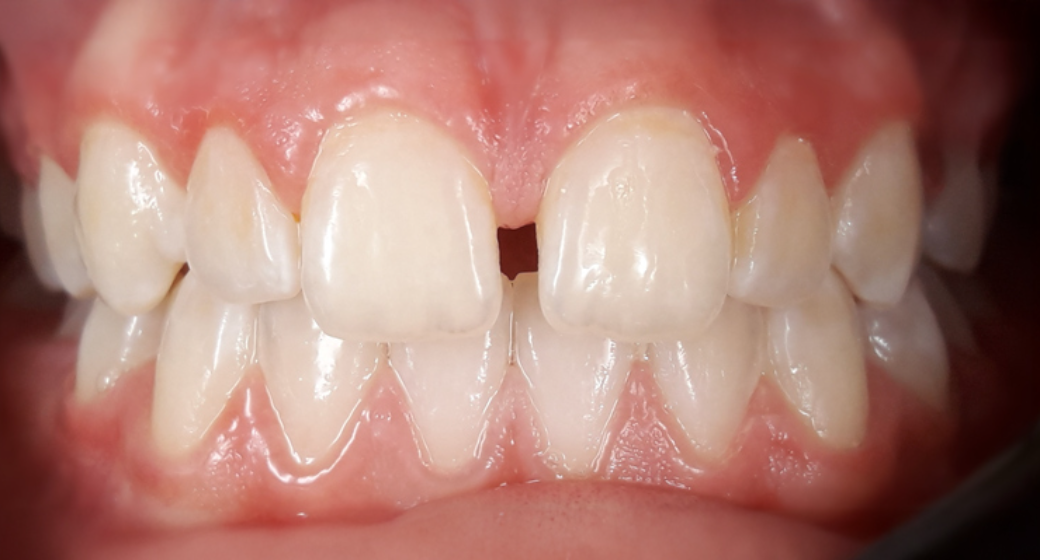
Behandlung Vorher-Nachher-Bild | Kieferorthopädie von Dr. med. dent. Neda Yavari | Elmshorn d82c8d16 Nachher-Bild
Vorher
356 Ansichten

Kieferorthopädie Vorher Nachher

von Dr. med. dent. Neda Yavari

Dr.  Neda Yavari Profilbild
Alle durchgeführten Behandlungen bei diesem Fall: Kieferorthopädie

Du findest das Behandlungsergebnis toll und möchtest Dich in dieser Praxis behandeln oder beraten lassen? Jetzt Kontakt aufnehmen:

Calendar IconOnline-Termin Kontakt zur Praxis

Befund

Die Patienten hatte eine Lücke zwischen den oberen Schneidezähnen durch Diastema im Oberkiefer sowie einen Kopfbiss 24/34, bei dem die unteren Zähne vor den oberen lagen.

Behandlung

Mit einer Multibandapparatur (feste Zahnspange) konnten die Zähne in die richtige Position bewegt und die Bissprobleme behandelt werden.

Patientendaten

Weiblich