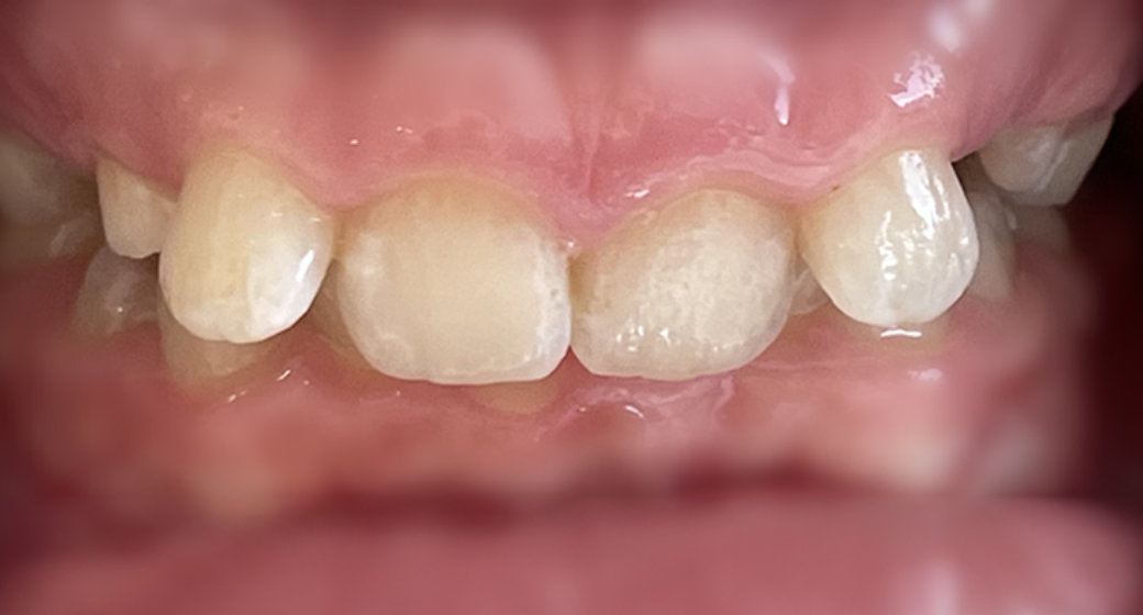
Behandlung Vorher-Nachher-Bild | Kieferorthopädie von Dr. med. dent. Neda Yavari | Elmshorn d82c8d16 Vorher-Bild
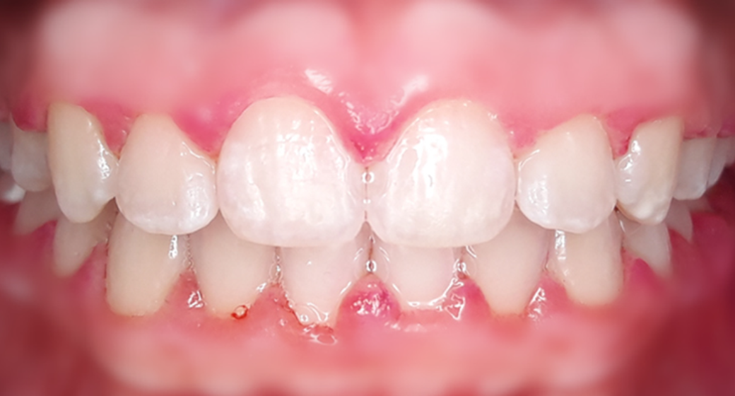
Nachher
Behandlung Vorher-Nachher-Bild | Kieferorthopädie von Dr. med. dent. Neda Yavari | Elmshorn d82c8d16 Nachher-Bild
Vorher
283 Ansichten

Kieferorthopädie Vorher Nachher

von Dr. med. dent. Neda Yavari

Dr.  Neda Yavari Profilbild
Alle durchgeführten Behandlungen bei diesem Fall: Kieferorthopädie

Du findest das Behandlungsergebnis toll und möchtest Dich in dieser Praxis behandeln oder beraten lassen? Jetzt Kontakt aufnehmen:

Calendar IconOnline-Termin Kontakt zur Praxis

Befund

Starker Tiefbiss und nach innen gekippte Frontzähne.

Behandlung

Harmonische Ausrichtung des Lächelns sowie optimale Korrektur des Lächelns durch gezielte kieferorthopädische Behandlung mit einer festen Zahnspange.

Patientendaten

Weiblich