Behandlung Vorher-Nachher-Bild | Kieferorthopädie  | von Dr. med. dent.  Nassim  Trips  | Rastatt 735b90b4 Vorher-Bild
Nachher
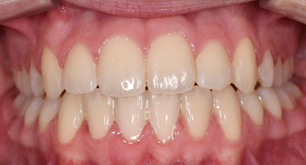
Behandlung Vorher-Nachher-Bild | Kieferorthopädie  | von Dr. med. dent.  Nassim  Trips  | Rastatt 735b90b4 Nachher-Bild
Vorher
818 Ansichten

Kieferorthopädie Vorher Nachher

von Dr. med. dent. Nassim Trips

Dr. med. dent.  Nassim  Trips  Profilbild
Alle durchgeführten Behandlungen bei diesem Fall: Kieferorthopädie

Du findest das Behandlungsergebnis toll und möchtest Dich in dieser Praxis behandeln oder beraten lassen? Jetzt Kontakt aufnehmen:

Kontakt zur Praxis

Befund

Ungerade Zähne

Behandlung

Damon Brackets