Behandlung Vorher-Nachher-Bild | Implantate von Dr. med. dent. Gero Böthig | Bernried am Starnberger See d9d4f495 Vorher-Bild
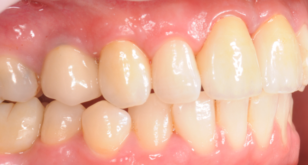
Nachher
Behandlung Vorher-Nachher-Bild | Implantate von Dr. med. dent. Gero Böthig | Bernried am Starnberger See d9d4f495 Nachher-Bild
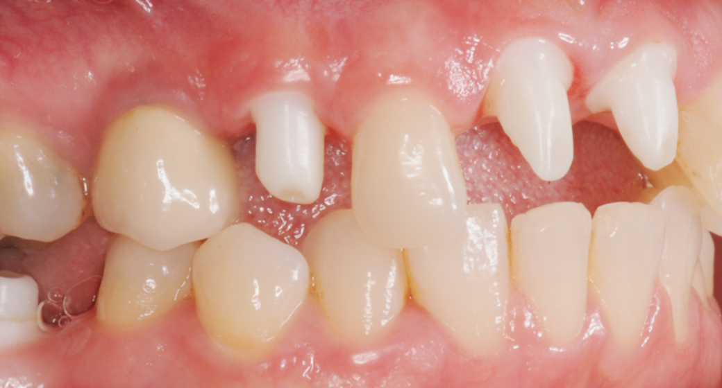
Vorher
396 Ansichten

Implantate Vorher Nachher

von Dr. med. dent. Gero Böthig

Dr. med. dent.  Gero  Böthig  Profilbild
Alle durchgeführten Behandlungen bei diesem Fall: Implantate

Du findest das Behandlungsergebnis toll und möchtest Dich in dieser Praxis behandeln oder beraten lassen? Jetzt Kontakt aufnehmen:

DR Flex IconOnline-Termin (Dr. Flex) Kontakt zur Praxis

Befund

Infos folgen

Behandlung

Infos folgen

Patientendaten

Infos folgen