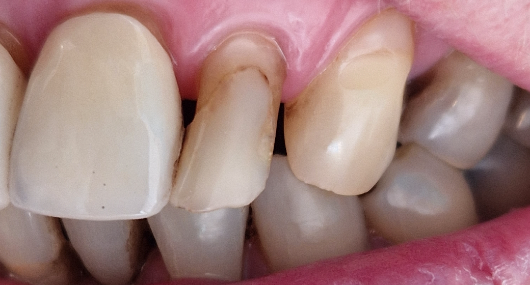
Behandlung Vorher-Nachher-Bild | Füllung  | von ZA Marasa  Westphal  | Itzehoe 17e62166 Vorher-Bild
Nachher
Behandlung Vorher-Nachher-Bild | Füllung  | von ZA Marasa  Westphal  | Itzehoe 17e62166 Nachher-Bild
Vorher
1178 Ansichten

Füllung Vorher Nachher

von Marasa Westphal

ZA Marasa  Westphal Profilbild
Alle durchgeführten Behandlungen bei diesem Fall: Füllung

Du findest das Behandlungsergebnis toll und möchtest Dich in dieser Praxis behandeln oder beraten lassen? Jetzt Kontakt aufnehmen:

Kontakt zur Praxis

Befund

insuffiziente Füllung 22 mit fehlendem Approximalkontakt nach distal.

Behandlung

Zahn 22 mit Frasaco+ Charisma A3,5 aufgebaut

Patientendaten

weiblich, 55 Jahre