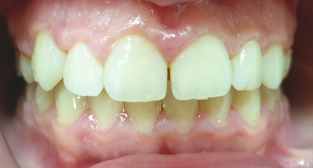
Behandlung Vorher-Nachher-Bild | Füllung  | von ZA Alexander Paulus | Wuppertal-Vohwinkel 51d92be1 Vorher-Bild
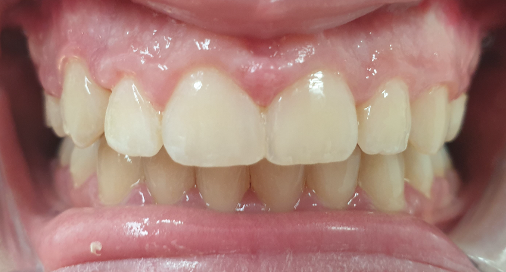
Nachher
Behandlung Vorher-Nachher-Bild | Füllung  | von ZA Alexander Paulus | Wuppertal-Vohwinkel 51d92be1 Nachher-Bild
Vorher
864 Ansichten

Füllung Vorher Nachher

von Mariangela Torsello

ZÄ Mariangela Torsello Profilbild
Alle durchgeführten Behandlungen bei diesem Fall: Füllung

Du findest das Behandlungsergebnis toll und möchtest Dich in dieser Praxis behandeln oder beraten lassen? Jetzt Kontakt aufnehmen:

Kontakt zur Praxis

Behandlung

Minimalinvasive Frontzahnkorrektur mittels Komposit