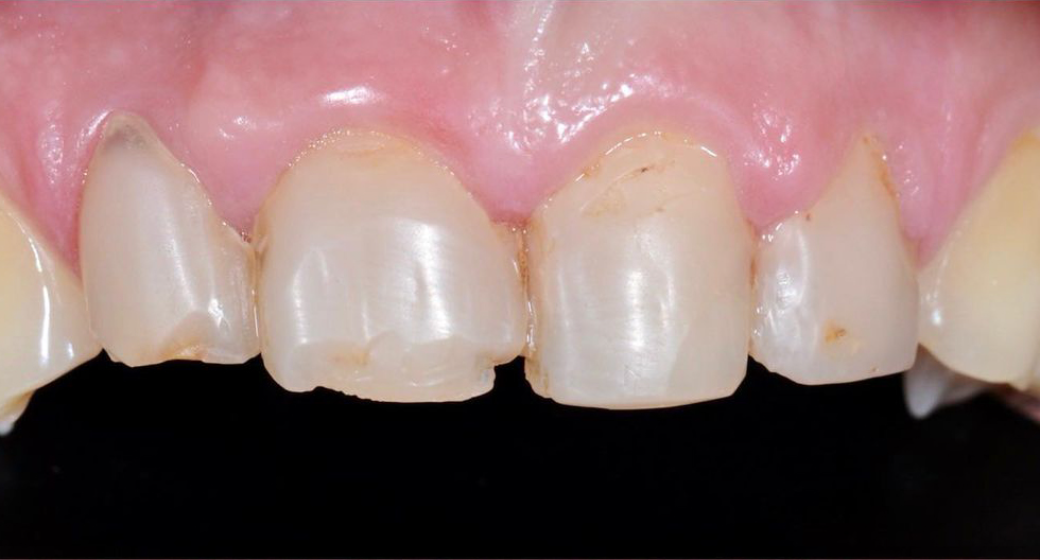
Behandlung Vorher-Nachher-Bild | Veneers von Dr. med. dent. Markus Bockeloh | Ahlen f4dd765c Vorher-Bild
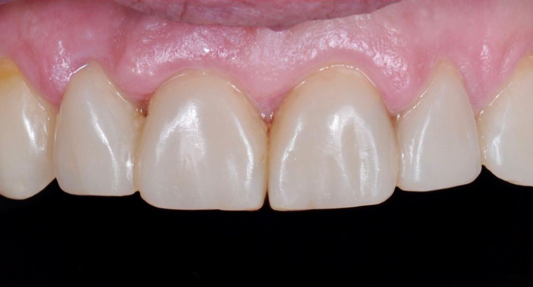
Nachher
Behandlung Vorher-Nachher-Bild | Veneers von Dr. med. dent. Markus Bockeloh | Ahlen f4dd765c Nachher-Bild
Vorher
541 Ansichten

Füllung Vorher Nachher

von Dr. med. dent. Markus Bockeloh

Zahnarztbild Placeholder
Alle durchgeführten Behandlungen bei diesem Fall: Füllung

Du findest das Behandlungsergebnis toll und möchtest Dich in dieser Praxis behandeln oder beraten lassen? Jetzt Kontakt aufnehmen:

Kontakt zur Praxis

Befund

Unschöne Füllungen, beschädigte Zahnform

Behandlung

Minimalinvasive Korrektur der Zahnform mit der Flowable Injection Technique. Innerhalb einer Sitzung haben wir die unschönen Füllungen mit neuen Füllungen behandelt. Alles ohne die Zähne zu beschleifen.

Patientendaten

Infos folgen