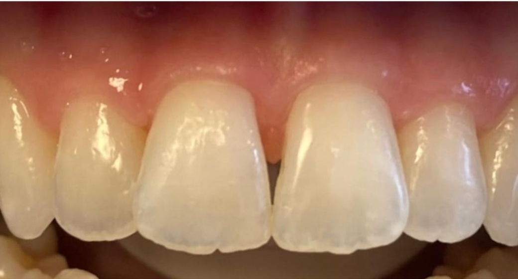
Behandlung Vorher-Nachher-Bild | Bleaching von  Dimitry Giller | Krefeld 218a0aef Vorher-Bild
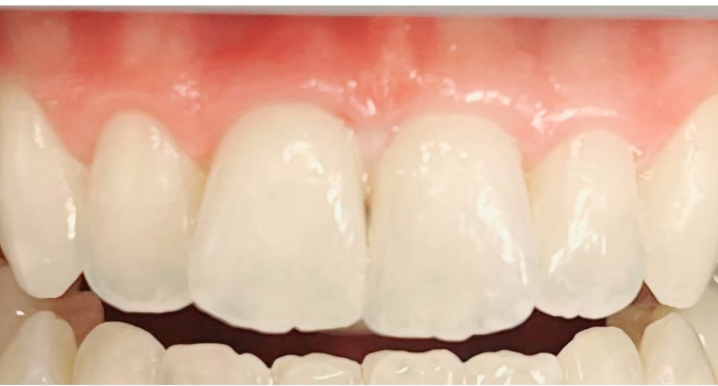
Nachher
Behandlung Vorher-Nachher-Bild | Bleaching von  Dimitry Giller | Krefeld 218a0aef Nachher-Bild
Vorher
1354 Ansichten

Bleaching Vorher Nachher

von Dimitry Giller

 Dimitry Giller Profilbild
Alle durchgeführten Behandlungen bei diesem Fall: BleachingAll-on-4/6ImplantateKieferorthopädieProphylaxeVeneersInlayAlignerBrückenKronenParodontologie

Du findest das Behandlungsergebnis toll und möchtest Dich in dieser Praxis behandeln oder beraten lassen? Jetzt Kontakt aufnehmen:

Kontakt zur Praxis