Behandlung Vorher-Nachher-Bild von    | Hannover  a3f390d8 Vorher-Bild
Nachher
Behandlung Vorher-Nachher-Bild von    | Hannover  a3f390d8 Nachher-Bild
Vorher
1619 Ansichten

Bleaching Vorher Nachher

von Dr. med. dent. Nebojsa Stankovic

Dr. med. dent.  Nebojsa  Stankovic  Profilbild
Alle durchgeführten Behandlungen bei diesem Fall: BleachingVeneers

Du findest das Behandlungsergebnis toll und möchtest Dich in dieser Praxis behandeln oder beraten lassen? Jetzt Kontakt aufnehmen:

Kontakt zur Praxis

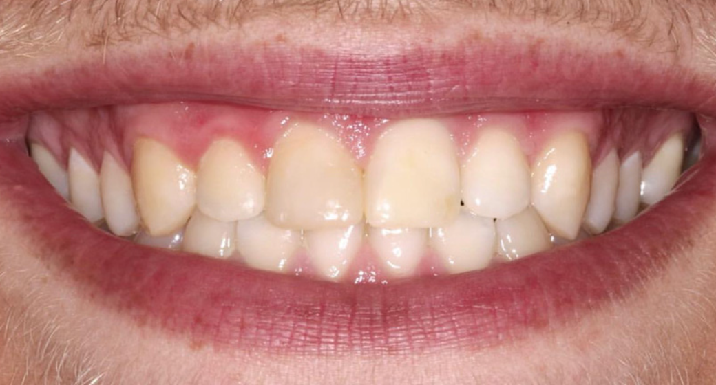
Befund

Zahnverfärbungen, verfärbte Kompositfüllungen an den Frontzähnen

Behandlung

Für uns ist es immer etwas Besonderes, Zahnärzte als Patienten zu behandeln. Auch bei diesem jungen Kollegen konnten wir das Lächeln optimieren. Die Zahnfarbe wurde durch ein Bleaching aufgehellt, der Zahnfleischverlauf wurde leicht verändert und die verfärbten Kompositfüllungen an den Frontzähnen wurden durch vier Veneers ersetzt. So konnten wir auch für harmonische Proportionen sorgen. Anhand der folgenden Fotos wird deutlich, wie hauchdünn die Keramik tatsächlich ist. Zu den Schneidekanten hin werden die Veneers immer transluzenter, was man besonders bei schwarzem Hintergrund erkennen kann. Die Makro- und Mikrostrukturen natürlicher Zähne wurde nachgeahmt, so dass aus jedem Betrachtungswinkel ein natürliches Erscheinungsbild gewährleistet ist.

Patientendaten

Männlich