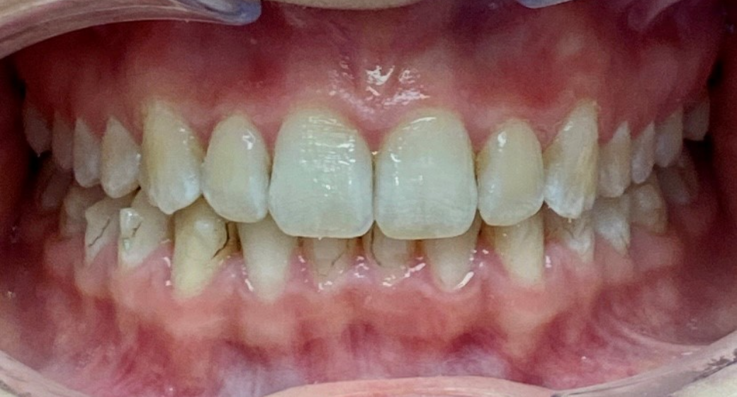
Behandlung Vorher-Nachher-Bild | Aligner  | von ZA Nils Hunselar | Düsseldorf d67d8ab4 Vorher-Bild
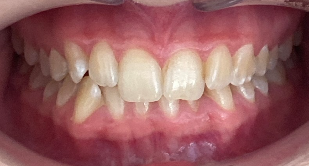
Nachher
Behandlung Vorher-Nachher-Bild | Aligner  | von ZA Nils Hunselar | Düsseldorf d67d8ab4 Nachher-Bild
Vorher
2000 Ansichten

Aligner Vorher Nachher

von Nils Hunselar

ZA Nils Hunselar Profilbild
Alle durchgeführten Behandlungen bei diesem Fall: Aligner

Du findest das Behandlungsergebnis toll und möchtest Dich in dieser Praxis behandeln oder beraten lassen? Jetzt Kontakt aufnehmen:

DR Flex IconOnline-Termin (Dr. Flex) Kontakt zur Praxis