Behandlung Vorher-Nachher-Bild | Aligner, Bleaching, Prophylaxe  | von    | München  98b29795 Vorher-Bild
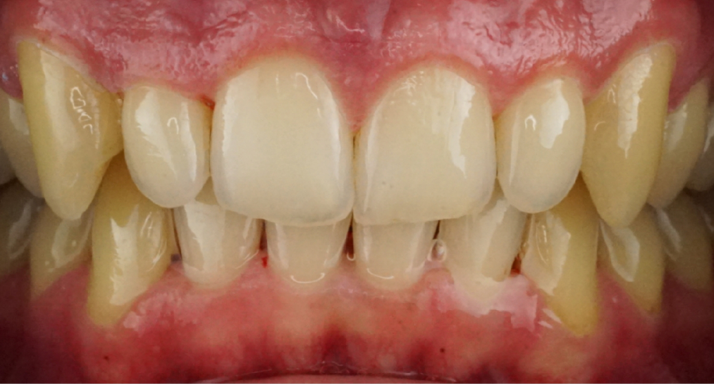
Nachher
Behandlung Vorher-Nachher-Bild | Aligner, Bleaching, Prophylaxe  | von    | München  98b29795 Nachher-Bild
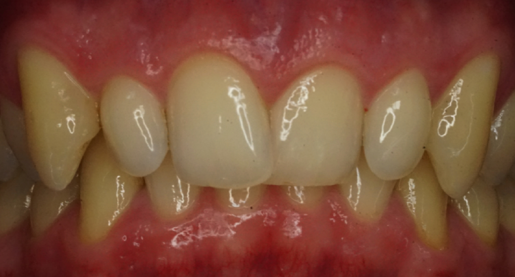
Vorher
1631 Ansichten

Aligner Vorher Nachher

von Viktoria Appel

 Viktoria  Appel  Profilbild
Alle durchgeführten Behandlungen bei diesem Fall: AlignerProphylaxe

Du findest das Behandlungsergebnis toll und möchtest Dich in dieser Praxis behandeln oder beraten lassen? Jetzt Kontakt aufnehmen:

Kontakt zur Praxis