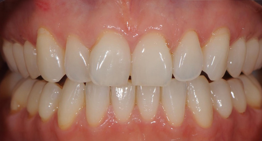
Behandlung Vorher-Nachher-Bild | Aligner von Dr. med. dent. Beate Jürgens | Düsseldorf-Oberkassel ffeed84c Vorher-Bild
Nachher
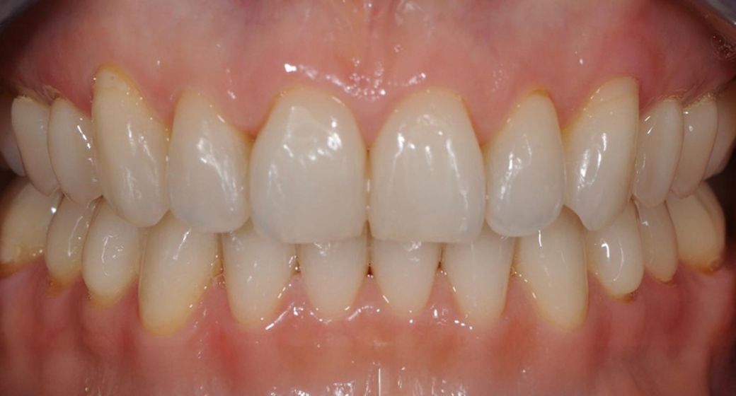
Behandlung Vorher-Nachher-Bild | Aligner von Dr. med. dent. Beate Jürgens | Düsseldorf-Oberkassel ffeed84c Nachher-Bild
Vorher
1053 Ansichten

Aligner Vorher Nachher

von Dr. med. dent. Beate Jürgens

Zahnarztbild Placeholder
Alle durchgeführten Behandlungen bei diesem Fall: Aligner

Du findest das Behandlungsergebnis toll und möchtest Dich in dieser Praxis behandeln oder beraten lassen? Jetzt Kontakt aufnehmen:

Kontakt zur Praxis

Befund

Zahnfehlstellung im Erwachsenenalter

Behandlung

In nur sechs Monaten ein strahlendes Lächeln zu bekommen – das ist jetzt möglich! Moderne Zahnkorrekturen durch Aligner bieten schnelle und effektive Lösungen, um eure Zähne in kürzester Zeit zu begradigen.

Patientendaten

Weiblich