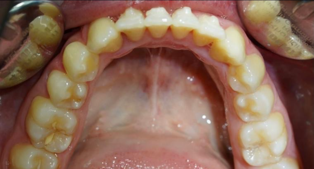
Behandlung Vorher-Nachher-Bild | Kieferorthopädie  | von Dr.  Ali  Abed Pour  | Wuppertal-Vohwinkel  51d92be1 Vorher-Bild
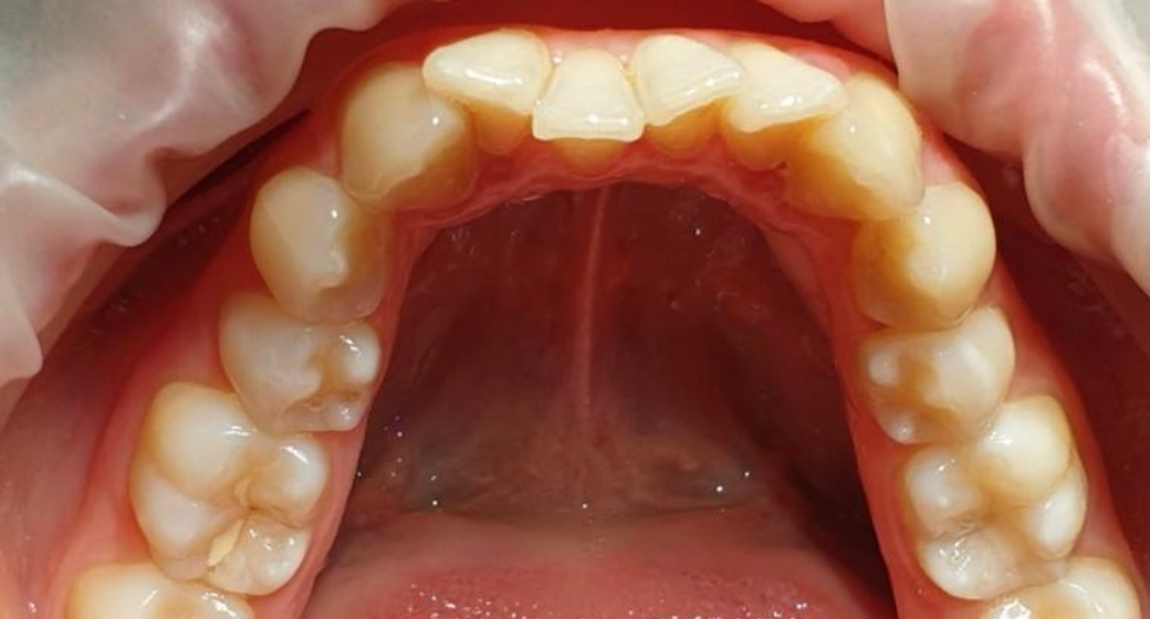
Nachher
Behandlung Vorher-Nachher-Bild | Kieferorthopädie  | von Dr.  Ali  Abed Pour  | Wuppertal-Vohwinkel  51d92be1 Nachher-Bild
Vorher
1723 Ansichten

Aligner Vorher Nachher

von Dr. med. dent. Ali Abed Pour

Dr.  Ali  Abed Pour  Profilbild
Alle durchgeführten Behandlungen bei diesem Fall: Aligner

Du findest das Behandlungsergebnis toll und möchtest Dich in dieser Praxis behandeln oder beraten lassen? Jetzt Kontakt aufnehmen:

Kontakt zur Praxis